22/09/2024
En el mundo de la repostería, la palabra 'torta' nos evoca imágenes de bizcochos esponjosos, cremas deliciosas y celebraciones. Sin embargo, existe un término que, a pesar de su nombre culinario, no tiene nada que ver con la cocina: la torta omental. Este concepto, también conocido por su término en inglés omental cake, es en realidad un hallazgo radiológico que describe una situación médica que requiere atención. En este artículo, vamos a desmitificar este término, explorando qué es exactamente, por qué ocurre y qué significa para la salud de una persona, alejándonos por completo de las recetas para adentrarnos en el fascinante campo de la medicina.

¿Qué es el Epiplón? El "Delantal" Protector de Nuestro Abdomen
Para entender qué es una torta omental, primero debemos conocer al protagonista: el omento o epiplón mayor. Imagina una especie de delantal graso de varias capas que cuelga de la curvatura mayor del estómago y cubre los intestinos. Esta estructura no es un simple depósito de grasa; el epiplón es un órgano dinámico y crucial para nuestro sistema inmunitario abdominal. Actúa como una barrera protectora, ayudando a contener infecciones y procesos inflamatorios, y participando en la cicatrización de heridas internas. Sin embargo, su naturaleza vascular y linfática también lo convierte en una vía potencial para la propagación de enfermedades.
La "Torta Omental": Cuando el Epiplón se Engrosa
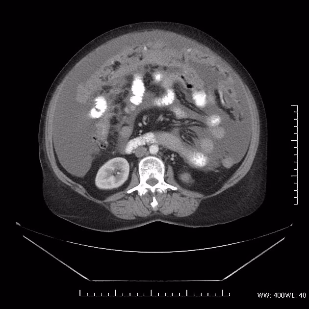
La torta omental no es una enfermedad en sí misma, sino un signo radiológico. Se define como un engrosamiento difuso e irregular de la grasa del epiplón. Normalmente, el epiplón es una banda de tejido graso delgada y casi imperceptible en las pruebas de imagen. Cuando se infiltra por células anormales (ya sean cancerosas, inflamatorias o infecciosas), se engrosa, se vuelve denso y adquiere una apariencia de 'masa' o 'torta' en estudios como la tomografía computarizada o la ecografía. Esta transformación es una señal de alerta que indica que algo anormal está ocurriendo en la cavidad abdominal.
Las Causas Detrás de la Torta Omental
La presencia de una torta omental siempre obliga a los médicos a realizar una investigación exhaustiva, ya que las causas pueden ser muy variadas, abarcando desde condiciones benignas hasta enfermedades muy graves. Las podemos agrupar en tres grandes categorías:
1. Causas Neoplásicas (Cáncer)
Históricamente, la torta omental se ha asociado de forma clásica con el cáncer. La infiltración del epiplón es una forma común de diseminación para ciertos tumores abdominales.
- Carcinoma de Ovario: Es la causa maligna más comúnmente asociada. La diseminación peritoneal es característica de este tipo de cáncer.
- Otros Tumores Metastásicos: Cánceres de colon, páncreas, estómago, endometrio o vejiga también pueden extenderse al epiplón y causar este signo.
- Tumores Primarios: Aunque son muy raros, el propio epiplón puede desarrollar tumores, tanto benignos como malignos, como el mesotelioma peritoneal.
En el contexto de una enfermedad neoplásica, la presencia de una torta omental suele implicar un estadio avanzado de la enfermedad y, por lo general, un peor pronóstico.
2. Causas Infecciosas
Aunque la malignidad es la primera sospecha en adultos, en la población pediátrica las causas infecciosas son mucho más frecuentes. Diversos patógenos pueden provocar una reacción inflamatoria tan intensa en el epiplón que cause su engrosamiento.

- Peritonitis Tuberculosa: Es el ejemplo clásico de una causa infecciosa que puede simular una carcinomatosis peritoneal.
- Otras Infecciones: Se han descrito casos relacionados con actinomicosis, histoplasmosis, micobacterias no tuberculosas y, como se ha visto en casos clínicos recientes, incluso infecciones bacterianas agudas como la causada por Campylobacter jejuni.
3. Causas Inflamatorias
Procesos inflamatorios crónicos no infecciosos también pueden llevar a la formación de una torta omental.
- Enfermedad de Crohn: Esta enfermedad inflamatoria intestinal puede causar una inflamación que se extienda al epiplón.
- Otras Condiciones: Pancreatitis, enterocolitis granulomatosa o amiloidosis son otras de las posibles causas inflamatorias.
Tabla Comparativa de Etiologías
| Categoría | Ejemplos Comunes | Notas Relevantes |
|---|---|---|
| Neoplásica | Carcinoma de ovario, colon, páncreas, estómago. | Es la causa más temida y clásica en adultos. Generalmente indica enfermedad avanzada. |
| Infecciosa | Tuberculosis, actinomicosis, Campylobacter. | Más frecuente en la población pediátrica. El pronóstico suele ser favorable con tratamiento dirigido. |
| Inflamatoria | Enfermedad de Crohn, pancreatitis, amiloidosis. | Relacionada con enfermedades crónicas subyacentes. |
Síntomas y Diagnóstico: ¿Cómo se Detecta?
La clínica de un paciente con infiltración del epiplón suele ser muy inespecífica, lo que puede retrasar el diagnóstico. Los síntomas más comunes incluyen:
- Dolor abdominal difuso o mal localizado de días o semanas de evolución.
- Distensión o hinchazón abdominal.
- Cambios en el hábito intestinal (diarrea o estreñimiento).
- Náuseas y vómitos.
- Fiebre, especialmente en causas infecciosas.
- Pérdida de peso y apetito (síndrome constitucional), más común en causas neoplásicas.
Como la torta omental es un signo radiológico, su diagnóstico definitivo se realiza mediante pruebas de imagen.
- Tomografía Computarizada (TC): Es el gold standard. Permite ver con gran detalle el engrosamiento del epiplón, su patrón (difuso o nodular) y si hay afectación de otros órganos.
- Ecografía Abdominal: Es una excelente alternativa, especialmente como primera prueba en niños para evitar la radiación. Puede detectar el engrosamiento y guiar el diagnóstico.
- Resonancia Magnética (RM): Aunque tiene menor resolución para la enfermedad peritoneal, es útil en pacientes que no pueden someterse a una TC.
En muchos casos, si la causa no está clara tras las pruebas de imagen, es necesario realizar una biopsia. Se toma una pequeña muestra de tejido del epiplón, guiada por imagen, para ser analizada por un patólogo. Este análisis es crucial para diferenciar entre una causa maligna, infecciosa o inflamatoria.
Tratamiento y Pronóstico
El tratamiento de la torta omental no se dirige al signo en sí, sino a la enfermedad subyacente que lo ha causado.
- Enfermedad Neoplásica: El tratamiento suele ser complejo y puede incluir cirugía citorreductora (para extirpar la mayor cantidad de tumor posible) seguida de quimioterapia. El pronóstico es reservado.
- Enfermedad Infecciosa: El pronóstico es generalmente bueno. El tratamiento se basa en la administración de antibióticos o antifúngicos específicos para erradicar el patógeno responsable. La evolución clínica suele ser muy favorable.
- Enfermedad Inflamatoria: El manejo se centra en controlar la enfermedad de base con medicamentos antiinflamatorios o inmunosupresores.
Preguntas Frecuentes (FAQ)
- 1. ¿Una 'torta omental' es siempre sinónimo de cáncer?
- No. Aunque es una asociación fuerte en adultos, especialmente con el cáncer de ovario, existen múltiples causas benignas, tanto infecciosas como inflamatorias. En niños y adolescentes, estas causas benignas son de hecho más frecuentes.
- 2. ¿Por qué se le llama 'torta' o 'pastel'?
- Es un término descriptivo y metafórico utilizado por los radiólogos. La infiltración y el engrosamiento del tejido graso del epiplón le confieren una apariencia sólida y masiva en las imágenes, que recuerda a la textura densa de una torta o pastel.
- 3. ¿Se puede prevenir la formación de una torta omental?
- No se puede prevenir el signo radiológico como tal. La prevención se enfoca en las enfermedades que la causan, como llevar un estilo de vida saludable para reducir el riesgo de ciertos cánceres o un diagnóstico y tratamiento temprano de enfermedades infecciosas e inflamatorias.
- 4. ¿Es una condición dolorosa?
- Sí, el dolor abdominal es uno de los síntomas más comunes asociados con la infiltración del epiplón, aunque su intensidad y localización pueden variar mucho.
En conclusión, la epiplón es un hallazgo médico significativo que, a pesar de su nombre engañosamente apetitoso, actúa como una importante señal de alarma. Representa un engrosamiento del delantal protector de nuestro abdomen y nos obliga a buscar una causa subyacente, que puede ir desde una infección tratable hasta un cáncer avanzado. La próxima vez que escuche el término 'torta omental', sabrá que se trata de un tema serio de salud y no de una delicia de pastelería.
Si quieres conocer otros artículos parecidos a Torta Omental: El 'Pastel' que Nadie Quiere Probar puedes visitar la categoría Pastelería.
